어깨가 아프면 여간 불편한 게 아니죠. 손을 조금만 들어도 통증이 오니 일상생활에도 매우 큰 지장이 있습니다. 어깨 통증은 잘못된 자세나 노화에 의한 경우가 대부분입니다. 특히 나이가 드신 분들은 어깨가 아프면 오십견이겠거니 하고 그냥 방치하는 경우도 있는 데, 이런 경우에 잘못되면 후유증이 생길수도 있으니 정확한 원인의 파악이 중요합니다. 오늘은 어깨 통증의 다양한 원인들에 대해서 알아보는 시간을 가져볼까 합니다.

목차
1. 유착성 관절낭염(오십견)
오십견이라고 흔히 알고 있지만 정확한 명칭은 유착성 관절낭염이다. 50대에서 흔하게 나타난다고 하여 '오십견'이라는 별칭이 붇었다. 어깨를 둘러싸고 있는 '관절낭'이라는 조직에 염증이 생겨서 어깨 관절이 굳게 되고, 팔을 마음대로 들어올릴 수 없는 상태가 된다. 정확한 원인은 아직 밝혀지진 않았지만 환자의 대다수에서 나쁜 자세나, 과도한 어깨 사용으로 인한 어깨 주위 조직의 퇴행이 관찰된다고 합니다.

주요특징으로는
어깨 주변이 딱딱하게 굳는 것이 특징입니다. 어깨가 굳어있어 팔의 가동 범위가 좁아지고, 앞으로 나란히나 만세 동작을 할 때 심한 통증이 있습니다. 또한 타인이 가동 범위 이상으로 팔을 들어 올리려고 해도, 어깨가 굳어 올라가지 않고 통증만 심해집니다.
치료는?
시간이 지나면 통증은 줄어들수는 있어도 굳은 어깨 때문에 팔의 운동 범위가 제한될 수도 있다. 그렇기 때문에 반드시 전문의와 상의가 필요하다. 보통 통증 조절을 위해 소염진통제나 약물치료, 주사요법을 3개월 정도 지속하면 호전이 된다. 이와 함께 어깨의 가동 범위를 늘리기 위한 운동치료도 병행해야 한다.
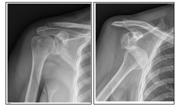
2. 석회성건염
석회성건염은 30~50대 연령층에서 잘 생기는 병입니다. 이름에서 알 수 있듯이 어깨 힘줄 부위에 칼슘 성분의 석회가 쌓여서 돌처럼 굳은 질병입니다. 석회성건염 역시 정확한 원인은 밝혀지진 않았지만 일반적으로 힘줄이 퇴행하며 세포가 괴사된 부위에 생기는 것으로 알려져있습니다.

주요특징으로는
팔을 앞이나 옆으로 들어올리기 힘들며, 급성의 경우에는 마치 골절처럼 매우 극심한 통증이 동반됩니다. 또한 목 주변이 아프기도 하여 목 질환으로 착각하는 경우도 종종 있다고 합니다.
치료는?
70세 이상에서는 석회성건염이 발견되는 경우가 거의 없어 시간이 지나면 석회가 조금씩 체내로 흡수되면서 나아지는 것으로 보입니다. 통증이 심한 경우에는 염증 치료나 물리치료 등을 시행해야 하는데, 이 방법으로도 나아지지 않는다면 체외 충격파나 관절내시경을 통한 수술적 치료도 고려해보아야 합니다.
3. 회전근개파열
어깨에서 팔뼈를 감싸며 붙어있는 4개의 근육의 힘줄을 회전근개라고 하는데, 이들의 주요 기능은 팔을 안이나 밖으로 돌리는 '회전'이어서 이름도 '회전근'이다. 이 회전근이 자극이나 손상등의 이유로 파열이 되는 것을 회전근개파열이라고 한다. 회전근개파열이 생기면 파을 들거나 손을 등 뒤로 했을 때 통증이 발생하며, 팔을 움직일 때 마찰음이 들리기도 한다.

주요특징으로는
초기에는 통증이 심하지 않고 움직임 제한도 적어서 방치하는 경우가 많다고 한다. 초기에 통증이 심하지 않은 이유는 파열이 일어나지 않은 다른 근육들이 더 움직이기 때문이기 때문에 방치하게 되면 파열 범위가 점점 늘어나게 된다.
치료는?
회전근개파열은 초기에 치료하는 게 중요하다. 파열범위가 넓어지게 되면 인공관절을 삽입해야 되는 경우도 생기기 때문이다. 치료는 물리 치료와 약물 치료를 시행하며, 운동 치료도 병행하여야 한다.
4. 그 외 다른 이유들
1) 어깨 탈구
어깨 탈구의 경우에는 어깨가 움직일 수 있는 범위 이상으로 팔이 꺾이거나 무리한 운동으로 인해서 발생한다. 심한 통증이 발생하기 때문에 병원에 방문하여 관절을 맞추는 치료를 받아야 한다. 하지만 한 번 탈구가 되면 습관성 탈구로 이어질 수 있기 때문에 항상 조심해야 한다.

2) 기타
위에 설명한 이유들 외에도 거북복이나 라운드숄더처럼 나쁜 자세로 인해서 발생하는 경우나 폐암이나 심근경색 등의 경우에도 어깨통증이 발생할 수 있다.
5. 어깨운동방법
어깨통증이 생기면 일상생활에 매우 지장을 주게 됩니다. 또한 한번 발생한 질병은 생활습관이 잘못되면 재발하거나 만성화되기도 합니다. 따라서 평소 어깨운동을 통해 근육과 인대를 강화하는 노력이 반드시 필요합니다.
고려대학교안산병원에서 제시하는 어깨운동방법을 공유하니, 도움이 되시길 바랍니다.

'생활정보 > 건강정보' 카테고리의 다른 글
| 멍 빨리 빼는 법, 달걀로 마사지하면 도움이 될까? (0) | 2022.10.23 |
|---|---|
| 치통의 다양한 원인과 대처방법 정리 (0) | 2022.10.22 |
| 무좀의 치료법과 무좀에 좋은 음식 총정리 (0) | 2022.10.20 |
| 무좀의 종류 및 증상과 예방법 총정리 (0) | 2022.10.19 |
| 당뇨병의 초기증상과 예방법 (0) | 2022.10.14 |
댓글